Afte Bucale Tratament Medicamentos





Afte Bucale Tratament Naturist Stomatologie Essentialdent Ro

Afte Bucale Tratament Naturist Stomatologie Essentialdent Ro

Cum Tratezi Rapid Aftele Bucale Helpnet Ro

Cum Tratezi Rapid Aftele Bucale Helpnet Ro

Anaftin Spray Pentru Afte Bucale Efarma

Anaftin Spray Pentru Afte Bucale Efarma

Aftele Bucale Dentistul Info

Aftele Bucale Dentistul Info

Aftele Bucale Cauze Simptome Tratament Preventie

Aftele Bucale Cauze Simptome Tratament Preventie

Aftele Bucale Cauze Simptome Tratament Preventie

Aftele Bucale Cauze Simptome Tratament Preventie

Aftele Bucale Cauze Simptome Tratament Preventie

Prin aplicare directă iaurtul îmbunătățește starea pielii afectate de afte și previne dezvoltarea infecțiilor.

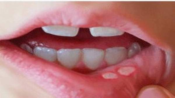
Afte bucale tratament medicamentos. Acidul lactic din iaurt ajută la reglarea ph ului mucoasei bucale. Se recomanda spalaturi bucale cu apa si bicarbonat. Ulceraţia începe ca o umflătură mică roşie şi sensibilă care dă senzaţia de arsură timp de o zi. Aftele sunt acoperite cu o membrană galbenă sau albă fiind mărginite de un halou roşu.

Printre metodele de tratament se numără apa de gură care poate ajuta la reducerea durerii și a inflamației. Schimbă pasta de dinţi. Tratamentul cu remedii populare pentru afte bucale tincturile de diferite plante medicinale inclusiv mușețel coajă de calenzată salvie și scoarță de stejar sunt cele mai comune remedii populare împotriva aftelor din gură. Cum se tratează aftele bucale.

Afte bucale tratament. Se pot face și dușuri bucale cu soluții alkaline cu bicarbonat de sodiu care corelate cu aplicarea locală a glicerinei boraxate sau a glicerinei cu hidrocortizon acetat vor vindecă leziunile prezente în 2 3 zile. Tratamentul medicamentos include atingeri cu substante caustice cum ar fi nitratul de argint o dată pe zi timp de 3 4 zile. Femeile sunt afectate mai frecvent decit barbatii.

Sunt cele mai intilnite tipuri de ulcere bucale. în general aceste afte se vindecă în două săptămâni fără cicatrice. Aftele bucale sunt ulceratii superficiale sau profunde care pot apare oriunde pe mucoasa cavitatii bucale. Evită alimentele acide care conţin zahăr.

Aftele apar de obicei intre virstele de 10 si 40 de ani. Studii arata ca pacientii care au afte pot fi tratate prin terapia cu laser acest tip de tratament ameliorareaza imediat durerea ajuta la vindecarea mai rapida si reduce numarul recidivelor in viitor. Clăteşte gura cu apă sărată. Clăteşte gura cu apă oxigenată.

Foloseşte bicarbonat de sodiu. Mestecatul alimentelor de exemplu se dovedeste a fi o misiune cu adevarat dificila atunci cand ai afte care te obliga sa acorzi mai multa atentie zonei din interiorul obrajilor. Deși aftele bucale ulcerațiile aftoase se vindecă de la sine anumite soluții sunt necesare pentru a reduce simptomatologia extrem de supărătoare a leziunilor. Dimineata tot pentru alcalinizarea cavitatii bucale se clateste gura cu o lingurita de ulei de cocos timp de cateva minute.

Ce simptome determină aftele bucale. Cel putin una din 5 persoane dezvolta afte bucale intrun anumit stadiu al vietii. Sarea si condimentele picante sunt de asemenea factori iritanti pentru leziunile aftoase afte bucale laser. Badijonarile cu violet de gențiană 1 sau gargarismele cu infuzie de musețel ajută în vindecarea aftelor bucale.

Aftele Bucale Informatii Si Tratament Arra Dental Clinique Clinica Stomatologie Parodontologie Bucuresti Floreasca

Aftele Bucale Informatii Si Tratament Arra Dental Clinique Clinica Stomatologie Parodontologie Bucuresti Floreasca

7 Tratamente Naturiste Pentru Aftele Bucale Doza De Sănătate

7 Tratamente Naturiste Pentru Aftele Bucale Doza De Sănătate

Stomatita Cauze Diagnostic și Tratament

Stomatita Cauze Diagnostic și Tratament

Aftele Bucale De Ce Apar Si Cum Se Pot Trata

Aftele Bucale De Ce Apar Si Cum Se Pot Trata

Aftele Bucale Despre Sănătate Cu Responsabilitate

Aftele Bucale Despre Sănătate Cu Responsabilitate

Pentru Suflet Iata Cum Sa Scapati De Aftele Bucale Fara Tratament Medicamentos

Pentru Suflet Iata Cum Sa Scapati De Aftele Bucale Fara Tratament Medicamentos

Afta Bucala Descriere Simptome Prevenție Tratament

Afta Bucala Descriere Simptome Prevenție Tratament

Gel Pentru Afte Bucale Anaftin 12 8 Ml Pilulka Ro

Gel Pentru Afte Bucale Anaftin 12 8 Ml Pilulka Ro

Afte Bucale Simptome Cauze și Tratament Dr Leahu Dental Clinics

Afte Bucale Simptome Cauze și Tratament Dr Leahu Dental Clinics

Aftele Bucale Cauze Simptome Tratament Prevenţie Csid Ce Se Intamplă Doctore

Aftele Bucale Cauze Simptome Tratament Prevenţie Csid Ce Se Intamplă Doctore

Afte Bucale Tratament Naturist Stomatologie Essentialdent Ro

Afte Bucale Tratament Naturist Stomatologie Essentialdent Ro

Aftele Leziuni Dureroase In Cavitatea Bucala Farmacia Alphega

Aftele Leziuni Dureroase In Cavitatea Bucala Farmacia Alphega

Tratare Afte

Tratare Afte

Tratament Cu Bicarbonat Pentru Ciuperca Bucala Bebe Danihilldesign Com

Tratament Cu Bicarbonat Pentru Ciuperca Bucala Bebe Danihilldesign Com

Source : pinterest.com